
Liver Tumor Treatment in Delhi has advanced significantly with the availability of minimally invasive interventional radiology procedures that offer effective tumor control with faster recovery and fewer complications. Patients suffering from liver tumors or liver cancer (hepatocellular carcinoma – HCC) can now benefit from targeted, image-guided treatments without the need for major surgery.
Our comprehensive liver tumor care in Delhi focuses on accurate diagnosis, personalized treatment planning, and advanced procedures such as Percutaneous Ablation (RFA/MWA), Transarterial Chemoembolization (TACE), and Transarterial Radioembolization (TARE).
Liver Tumor Treatment In Delhi – Safe, Advanced & Minimally Invasive Care
A liver tumor is an abnormal growth of cells in the liver. Liver tumors can be:
Benign (non-cancerous) – such as hemangioma or focal nodular hyperplasia
Malignant (cancerous) – such as hepatocellular carcinoma (HCC) or metastatic liver tumors
Early diagnosis and timely treatment of liver tumors significantly improve survival and quality of life.
Common causes and risk factors for liver tumors include:
Chronic hepatitis B or C infection
Liver cirrhosis (alcohol-related or non-alcoholic fatty liver disease)
Excessive alcohol consumption
Obesity and diabetes
Long-term liver inflammation
Exposure to toxins or chemicals
Family history of liver cancer
Liver tumors often show no symptoms in early stages. As the disease progresses, symptoms may include:
Pain or discomfort in the upper right abdomen
Unexplained weight loss
Loss of appetite
Fatigue and weakness
Jaundice (yellowing of eyes and skin)
Abdominal swelling
Nausea or vomiting
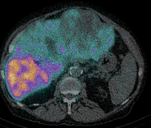
Accurate diagnosis is essential before planning liver tumor treatment. Common diagnostic methods include:
Ultrasound (USG)
Contrast-enhanced CT scan
MRI of the liver
PET scan (in selected cases)
Blood tests (AFP – Alpha-fetoprotein)
Image-guided liver biopsy (if required)
Percutaneous Ablation is a minimally invasive treatment used for small to medium-sized liver tumors. It is performed under imaging guidance (CT or ultrasound) without open surgery.
Uses high-frequency electrical currents
Generates heat to destroy tumor cells
Ideal for tumors smaller than 3 cm
Uses microwave energy to generate higher temperatures
More effective for slightly larger tumors
Faster ablation time with better tumor margins
Benefits of Percutaneous Ablation:
No major surgery
Minimal pain and blood loss
Short hospital stay
Preserves healthy liver tissue
Faster recovery and early return to daily life




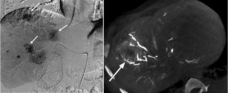
TACE is a targeted liver cancer treatment that delivers chemotherapy directly into the tumor’s blood supply.
A thin catheter is inserted through the groin or wrist artery
Chemotherapy drugs are delivered directly to the liver tumor
Blood supply to the tumor is blocked (embolization)
Tumor cells are deprived of oxygen and nutrients
High concentration of chemotherapy at tumor site
Minimal effect on the rest of the body
Effective for intermediate-stage liver cancer
Can shrink tumors and slow disease progression
TARE, also known as Yttrium-90 (Y-90) Radioembolization, is an advanced form of internal radiation therapy for liver tumors.
Tiny radioactive beads (microspheres) are delivered into liver arteries
Radiation targets the tumor from inside
Minimal radiation exposure to healthy liver tissue
Benefits of TARE:
Highly precise treatment
Suitable for advanced or inoperable liver tumors
Fewer side effects compared to external radiation
Can be used when TACE is not effective



Minimally invasive procedures
Image-guided precision
Lower complication rates
Suitable for patients unfit for surgery
Can be repeated if needed
Improved quality of life
Most procedures require 1–2 days of hospitalization
Mild pain or fever may occur temporarily
Regular follow-up imaging is required
Patients can resume normal activities quickly
The best treatment depends on tumor size, stage, and liver function. Minimally invasive options like RFA, MWA, TACE, and TARE are highly effective for many patients.
Yes. Interventional radiology procedures allow non-surgical treatment of liver tumors with excellent outcomes.
Percutaneous Ablation is a safe, well-established procedure with low complication rates when performed by experienced specialists.
The procedure usually takes 1–2 hours, followed by short hospital observation.
Most patients recover within a few days and can return to routine activities quickly.
If you or your loved one is diagnosed with a liver tumor, consult an experienced interventional radiology specialist in Delhi for personalized and advanced liver tumor treatment options.